Category Archives: Local News

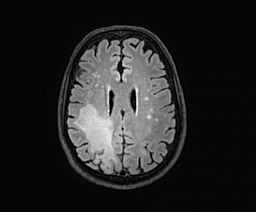
Hospital Has New Technology To Treat Stroke Patients
Ascension St. Vincent Hospital in Evansville announces new technology that gives patients the best chance of recovery after suffering a stroke. The new technology provides live 3-D images, giving doct...
Amy Adams Aug 16, 2023 NIH Image Gallery

Executive Director Starts New Job Next Month
The Evansville Wartime Museum has appointed Sean Georges as their new Executive Director. He is a graduate of the U.S. Naval Academy at Annapolis and earned a law degree from the University of Illinoi...
Amy Adams Aug 15, 2023 Sean Georges photo from news release

KYTC Seeking History Buffs For Project
The Kentucky Transportation Cabinet is looking for history enthusiasts of Henderson County. They need assistance with preserving the rich history of the local Black community from post-Civil War and C...
Amy Adams Aug 15, 2023 Photo from news release

Bicyclist Killed Near Downtown Evansville
First responders were called to the scene of an accident at Veterans Memorial Parkway and Riverside Drive just before 6:00. Witnesses tell police a bicycle rode out in front of oncoming traffic and wa...
Amy Adams Aug 15, 2023 Alan Levine / CC

Mayor Wants To Increase Pay For City Employees
Evansville city budget hearings start this week and, although he'll no longer be in office, Mayor Lloyd Winnecke wants his job to pay more. Winnecke's proposed budget for 2024 increases the mayor's sa...
Amy Adams Aug 14, 2023 Purple Slog / CC

Woman Jailed For Excessive Amount Of Non-Emergency Calls
An Evansville woman was arrested over the weekend for calling 9-1-1 for non-emergency reasons. It's the 45th time the woman has called the police. This time she claimed a man's bike was in her bathroo...
Amy Adams Aug 14, 2023 Scary Side of Earth / CC

Father is Attacked By Son Over Chores
An Evansville man is in jail after attacking his father twice with a lamp during an argument over chores. EPD was called to the 4600 block of Spring Valley Road for an assault in progress early Sunday...
Amy Adams Aug 14, 2023 Cody Jones (VCCC)

Two Non-Profit Organizations Are Awarded Funding
Vanderburgh County Commissioners Awarded two non-profit organizations with funds from the American Rescue Plan Act. Youth Resources of Southwestern Indiana received $25,000. Their mission is to inspir...
Amy Adams Aug 14, 2023 Photos from news release

Lightening Causes Early Morning House Fire
This morning, there was an apparent lightning strike at a home on Charlestown Court in Vanderburgh County. Officials say after the house was struck, it started an attic fire. No word on whether there ...
Amy Adams Aug 14, 2023 Simon Bradley / CC

City On Hunt For This Year's Christmas Tree
The City of Evansville is on a search for its annual Christmas tree. They are looking for a solid evergreen tree, taller than 20 feet, and firm on all sides. It will then be put on display in front of...
Amy Adams Aug 11, 2023 Picture From news release


